Viêm mãn tính
Các tế bào và các trung gian điều hòa viêm mạn tính
Các tế bào bào khác trong viêm mạn tính
Các loại tế bào khác có thể nổi bật trong tình trạng viêm mãn tính gây ra bởi các kích thích nhất định.

- Bạch cầu ái toan có nhiều trong các phản ứng miễn dịch qua trung gian IgE và trong các bệnh nhiễm ký sinh trùng (Hình 1). Sự huy động của chúng được thúc đẩy bởi các phân tử bám dính tương tự như các phân tử được sử dụng bởi bạch cầu trung tính và bởi các chemokine cụ thể (ví dụ, eotaxin) có nguồn gốc từ bạch cầu và tế bào biểu mô. Bạch cầu ái toan có các hạt chứa protein cơ bản chính (major basic protein), một loại protein có tính cation cao, gây độc cho giun sán nhưng cũng có thể làm tổn thương các tế bào biểu mô của vật chủ. Đây là lý do tại sao bạch cầu ái toan có lợi trong việc kiểm soát nhiễm giun sán, tuy nhiên chúng cũng góp phần gây tổn thương mô trong các phản ứng miễn dịch như dị ứng (xem loạt bài viết sau).
- Dưỡng bào (mast cells) phân bố rộng rãi trong các mô liên kết và tham gia vào các phản ứng viêm cấp tính và mãn tính. Dưỡng bào biểu hiện trên bề mặt của chúng thụ thể (FcεRI) liên kết với phần Fc của kháng thể IgE. Trong các phản ứng quá mẫn tức thì, kháng thể IgE liên kết với thụ thể Fc của tế bào nhận diện kháng nguyên một cách đặc hiệu, tế bào sẽ thoái hóa hạt và giải phóng các chất trung gian như histamine và prostaglandin (xem loạt bài viết sau). Loại đáp ứng này xảy ra trong các phản ứng dị ứng với thực phẩm, nọc độc côn trùng hoặc thuốc, đôi khi gây ra hậu quả thảm khốc (ví dụ: sốc phản vệ). Dưỡng bào cũng có mặt trong các phản ứng viêm mãn tính và vì chúng tiết ra rất nhiều cytokine nên chúng có thể thúc đẩy các phản ứng viêm trong các tình huống khác nhau.
- Mặc dù bạch cầu trung tính là đặc trưng của tình trạng viêm cấp tính, nhưng nhiều dạng viêm mãn tính vẫn tiếp tục cho thấy số lượng lớn bạch cầu trung tính, gây ra bởi vi khuẩn tồn tại dai dẳng hoặc bởi các chất trung gian được tạo ra bởi đại thực bào và tế bào lympho T đã hoạt hóa. Trong nhiễm trùng xương mãn tính do vi khuẩn (viêm xương tủy xương), dịch tiết bạch cầu trung tính có thể tồn tại trong nhiều tháng. Bạch cầu trung tính cũng rất quan trọng trong tổn thương mãn tính ở phổi do hút thuốc và các kích thích kích ứng khác (xem loạt bài viết sau). Kiểu viêm này được gọi là cấp tính trên nền mãn tính.
Viêm u hạt (granulomatous inflammation)
Viêm u hạt là một dạng viêm mãn tính được đặc trưng bởi các tập hợp đại thực bào hoạt hóa, thường có tế bào lympho T và đôi khi liên quan đến hoại tử. Sự hình thành u hạt là một nỗ lực của tế bào nhằm ngăn chặn một tác nhân khó để loại bỏ. Trong nỗ lực này thường có sự kích hoạt mạnh mẽ của tế bào lympho T dẫn đến kích hoạt đại thực bào, có thể gây tổn thương cho các mô bình thường. Các đại thực bào được kích hoạt có thể phát triển nhiều tế bào chất và bắt đầu giống với các tế bào biểu mô và được gọi là tế bào giống biểu mô (epithelioid cells). Một số đại thực bào được kích hoạt có thể hợp nhất, tạo thành các tế bào khổng lồ đa nhân.
Có hai loại u hạt, khác nhau về cơ chế bệnh sinh.
- Các u hạt dị vật (foreign body granulomas) được kích thích bởi các vật thể lạ vô sinh, gây ra tình trạng viêm khi không có đáp ứng miễn dịch qua trung gian tế bào T. Thông thường, các u hạt do dị vật hình thành xung quanh các vật liệu như bột talc (liên quan đến lạm dụng ma túy qua đường tiêm tĩnh mạch) (xem bài viết sau), chỉ khâu hoặc các loại vật liệu khác đủ lớn để ngăn chặn quá trình thực bào của đại thực bào và không gây miễn dịch nên chúng không gây ra bất kỳ đáp ứng miễn dịch cụ thể nào. Các tế bào giống biểu mô và tế bào khổng lồ được gắn vào bề mặt của vật thể lạ. Vật chất lạ thường có thể được xác định ở trung tâm của u hạt, đôi khi trong các tế bào khổng lồ, đặc biệt nếu nhìn bằng ánh sáng phân cực, mà trong đó nó có thể khúc xạ.
- U hạt miễn dịch (immune granulomas) được gây ra bởi nhiều tác nhân khác nhau mà có khả năng tạo ra phản ứng miễn dịch qua trung gian tế bào T dai dẳng. Loại phản ứng miễn dịch này thường tạo ra u hạt khi tác nhân kích thích khó tiêu diệt, chẳng hạn như vi khuẩn tồn tại dai dẳng. Trong những phản ứng như vậy, các tế bào Th1 được kích hoạt sẽ tạo ra các cytokine như IFN-γ, kích hoạt các đại thực bào (xem Hình 4, phần 1). Trong một số bệnh nhiễm ký sinh trùng, chẳng hạn như bệnh sán máng, u hạt có liên quan đến đáp ứng Th2 mạnh và bạch cầu ái toan.
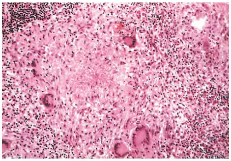
Hình thái học
Trong các tiêu bản chế phẩm nhuộm hematoxylin và eosin thông thường, các đại thực bào hoạt hóa trong u hạt có tế bào chất có hạt, màu hồng với ranh giới tế bào không rõ ràng và được gọi là tế bào giống biểu mô (epithelioid cells) vì chúng giống với biểu mô (Hình 2). Tập hợp các đại thực bào giống biểu mô được bao quanh bởi một vòng tế bào lympho. Các u hạt cũ hơn có thể có viền nguyên bào sợi và mô liên kết. Thông thường, nhưng không phải lúc nào cũng có, các tế bào khổng lồ đa nhân có đường kính 40 đến 50 µm được tìm thấy trong u hạt; chúng được gọi là tế bào khổng lồ Langhans (Langhans giant cells). Chúng bao gồm một khối lớn tế bào chất và nhiều nhân, và chúng bắt nguồn từ sự hợp nhất của nhiều đại thực bào hoạt hóa. Trong u hạt liên quan đến một số vi sinh vật truyền nhiễm nhất định (thường gặp nhất là trực khuẩn lao), sự kết hợp giữa tình trạng thiếu oxygen và tổn thương qua trung gian gốc tự do sẽ dẫn đến vùng hoại tử trung tâm. Nhìn chung, chất này có hạt, sền sệt và do đó được gọi là hoại tử bã đậu (caseous necrosis). Về mặt hiển vi, chất hoại tử này xuất hiện dưới dạng mảnh vụn có hạt, vô định hình, không cấu trúc, ái toan, mà mất hoàn toàn các chi tiết tế bào (ngược lại với hoại tử đông, trong đó các khung tế bào được bảo tồn). Các u hạt trong bệnh Crohn, sarcoidosis và phản ứng với dị vật có xu hướng không có các trung tâm hoại tử và được cho là không hoại tử. Việc chữa lành u hạt đi kèm với xơ hóa có thể lan rộng ở các cơ quan liên quan.

Việc nhận biết viêm u hạt là quan trọng vì số lượng các tình trạng gây ra bệnh này (một số trường hợp đe dọa tính mạng) còn hạn chế (Bảng 1). Bệnh lao là một nguyên mẫu (prototype) của bệnh u hạt do nhiễm trùng và phải luôn được loại trừ là nguyên nhân khi xác định được u hạt. Trong bệnh này, u hạt được gọi là bệnh lao. U hạt cũng có thể phát triển trong một số bệnh lý viêm qua trung gian miễn dịch. Đáng chú ý trong số này là bệnh Crohn, một loại bệnh viêm ruột và là nguyên nhân quan trọng gây viêm u hạt ở Hoa Kỳ, và bệnh sarcoidosis, một chứng rối loạn không rõ nguyên nhân. Các mô hình hình thái trong các bệnh u hạt khác nhau có thể khác nhau đủ để cho phép chẩn đoán chính xác một cách hợp lý bởi một nhà nghiên cứu bệnh học có kinh nghiệm (xem Bảng 3.9); tuy nhiên, có rất nhiều biểu hiện không điển hình nên luôn cần phải xác định tác nhân gây bệnh cụ thể bằng các phương pháp nhuộm đặc biệt dành cho sinh vật (ví dụ: nhuộm kháng axit đối với trực khuẩn lao), bằng phương pháp nuôi cấy (ví dụ: trong bệnh lao và bệnh nấm), bằng phương pháp kỹ thuật phân tử (ví dụ, phản ứng chuỗi polymerase trong bệnh lao) và bằng các nghiên cứu huyết thanh học (ví dụ, trong bệnh giang mai).

Khái niệm quan trọng
Viêm mạn tính
- Viêm mãn tính là phản ứng kéo dài của vật chủ đối với các kích thích dai dẳng.
- Nguyên nhân là do các vi khuẩn chống lại sự đào thải, phản ứng miễn dịch chống lại các kháng nguyên của bản thân và các kháng nguyên của môi trường cũng như một số chất độc hại (ví dụ: silica), và nó là nguyên nhân gây ra nhiều bệnh quan trọng về mặt y học.
- Nó được đặc trưng bởi tình trạng viêm, tổn thương mô và nỗ lực sửa chữa bằng cách tạo sẹo cùng nhau tồn tại.
- Thâm nhiễm tế bào bao gồm đại thực bào, tế bào lympho, tương bào và các bạch cầu khác.
- Nó được điều hòa bởi các cytokine được sản xuất bởi đại thực bào và tế bào lympho (đặc biệt là tế bào lympho T); tương tác hai chiều giữa các tế bào này có xu hướng khuếch đại và kéo dài phản ứng viêm.
- Viêm u hạt là một dạng viêm mãn tính gây ra bởi sự hoạt hóa của tế bào T và đại thực bào để đáp ứng với một tác nhân có khả năng kháng lại sự diệt trừ.
Các tác động hệ thống của viêm
Tình trạng viêm, ngay cả khi cục bộ, cũng có liên quan đến các phản ứng toàn thân do cytokine gây ra, được gọi chung là đáp ứng giai đoạn cấp tính (acute-phase response). Bất kỳ ai từng trải qua cơn bệnh nặng do vi-rút (ví dụ: cúm) đều đã trải qua các biểu hiện toàn thân của tình trạng viêm cấp tính. Những thay đổi này là phản ứng với các cytokine mà việc sản xuất ra chúng được kích thích bởi các sản phẩm vi khuẩn và các kích thích viêm khác. Các cytokine TNF, IL-1 và IL-6 là những chất trung gian quan trọng của phản ứng giai đoạn cấp tính; các cytokine khác, đặc biệt là interferon, cũng góp phần.
Đáp ứng trong giai đoạn cấp tính bao gồm một số thay đổi lâm sàng và bệnh lý.
- Sốt (fever), đặc trưng bởi sự tăng nhiệt độ cơ thể, thường từ 1°C đến 4°C, là một trong những biểu hiện nổi bật nhất của phản ứng giai đoạn cấp tính, đặc biệt khi tình trạng viêm có liên quan đến nhiễm trùng. Các chất gây sốt được gọi là “pyrogens” và bao gồm các sản phẩm của vi khuẩn (chất gây sốt ngoại sinh, ví dụ LPS) và cytokine, chủ yếu là IL-1 và TNF (được gọi là chất gây sốt nội sinh). Chất gây sốt ngoại sinh hoạt động bằng cách kích thích các tế bào miễn dịch giải phóng IL-1 và TNF, điều hòa tăng cyclooxygenase, các enzyme tổng hợp prostaglandins. Trong số các tế bào đáp ứng với IL-1 và TNF có các tế bào mạch máu và quanh mạch máu của vùng dưới đồi. Prostaglandin được giải phóng bởi các tế bào này, đặc biệt là PGE2, kích thích sản xuất chất dẫn truyền thần kinh ở vùng dưới đồi giúp thiết lập lại nhiệt độ ở trạng thái ổn định của cơ thể lên mức cao hơn bằng cách giảm mất nhiệt (thông qua co mạch) và tăng sinh nhiệt (thông qua tác động lên mỡ nâu và cơ xương). ). NSAID, bao gồm aspirin, giảm sốt bằng cách ức chế tổng hợp prostaglandins. Nhiệt độ cơ thể tăng cao đã được chứng minh là giúp động vật lưỡng cư tránh khỏi nhiễm trùng do vi sinh vật và mặc dù chưa hiểu rõ chi tiết nhưng người ta cho rằng sốt cũng là một phản ứng bảo vệ của vật chủ ở động vật có vú.
- Tăng nồng độ các protein giai đoạn cấp tính (acute-phase proteins), là các protein huyết tương, chủ yếu được tổng hợp ở gan, nồng độ trong huyết tương của chúng có thể tăng lên vài trăm lần như một phần của đáp ứng với các kích thích viêm. Ba trong số các protein này được biết đến nhiều nhất là protein phản ứng C (C reactive protein – CRP), fibrinogen và protein amyloid A huyết thanh (serum amyloid A – SAA). Sự tổng hợp các phân tử này trong tế bào gan được kích thích bởi các cytokine, đặc biệt là IL-6 (đối với CRP và fibrinogen) và IL-1 hoặc TNF (đối với SAA). Nhiều protein ở giai đoạn cấp tính, chẳng hạn như CRP và SAA, liên kết với thành tế bào vi khuẩn và chúng có thể hoạt động như các opsonins và cố định bổ thể. Chúng cũng liên kết chất nhiễm sắc, mà có thể hỗ trợ làm sạch nhân tế bào hoại tử. Fibrinogen liên kết với các tế bào hồng cầu và khiến chúng tạo thành các khối (rouleaux) lắng đọng nhanh hơn ở một đơn vị trọng lực so với các tế bào hồng cầu riêng lẻ. Đây là cơ sở để đo tốc độ lắng của hồng cầu (erythrocyte sedimentation rate) như là một xét nghiệm đơn giản về phản ứng viêm do bất kỳ kích thích nào gây ra. Protein giai đoạn cấp tính có tác dụng có lợi trong quá trình viêm cấp tính, nhưng việc sản xuất các protein này kéo dài (đặc biệt là SAA) ở tình trạng viêm mãn tính sẽ gây ra bệnh amyloidosis thứ phát (xem loạt bài viết sau). Nồng độ CRP trong huyết thanh tăng cao đã được cho là một dấu hiệu làm tăng nguy cơ nhồi máu cơ tim ở bệnh nhân mắc bệnh động mạch vành. Người ta cho rằng tình trạng viêm liên quan đến mảng xơ vữa động mạch trong động mạch vành có thể dẫn đến huyết khối và nhồi máu sau đó. Hai loại protein gan khác được giải phóng với số lượng tăng lên như một phần của phản ứng giai đoạn cấp tính thường dẫn đến lượng tế bào máu thay đổi. Hepcidin là một loại protein nhỏ làm giảm khả năng cung cấp sắt cho các tế bào tiền thân hồng cầu trong tủy xương; theo thời gian, tác động này có thể dẫn đến thiếu máu do viêm mãn tính (Chương 14). Thrombopoietin, yếu tố tăng trưởng chính của megakaryocytes (nguyên mẫu tiểu cầu) (tiền thân tiểu cầu) trong tủy xương, cũng được điều hòa tăng lên và kết quả là tình trạng viêm toàn thân có thể liên quan đến số lượng tiểu cầu tăng cao (tăng tiểu cầu [thrombocytosis]).
Các bạn có thể xem bài viết mới trên Facebook tại đây: https://www.facebook.com/profile.php?id=61550892771585
Các bạn có thể xem bài viết trước tại đây: https://docsachxyz.com/viem-va-su-sua-chua-phan-7/
Cảm ơn các bạn đã theo dõi bài viết. Hẹn gặp lại các bạn trong các bài viết tiếp theo nhé !!!




































